初めて歯科医院を訪れる方は、誰しも不安を抱えているものです。現在気になる症状がどのような状況で発生しているのか、いつから続いているのかなど、問題解決のために詳細にお伺いします。歯や口の問題は多角的に分析しなければ、その原因を特定することは難しいです。「今後どのようにしたいか」「何を希望するか」についてもお話を伺いながら、「あなたの健康」について一緒に考えてまいります。なお、当院には小児歯科専門の女性担当医師が在籍していますので、専門家として、あなたに最も適した解決策を提案し、治療スケジュールや費用についても丁寧にご説明いたします。
患者様の負担が少なくスムーズに歯並びをキレイにしていくためには、
事前の正確な診断の上で精密な治療計画を立てる必要があります。
当院では、正確な診断を行うために欠かすことができない先端設備を導入しています。
3D口腔内スキャナー(i-Tero)は、お口の中をスキャンするだけで歯型を取ることができます。更に、実際に歯が動いていく様子をモニター上で確認することができますので、治療途中のプロセスや治療後の歯並びまでイメージすることができます。
通常のレントゲンとは違い、歯や顎の骨の位置を3Dによる立体的な画像で確認することができます。
頭部を正面と側面から撮影することで顔の骨格を詳しく把握することができます。
インビザラインはクリンチェックというソフトを使用して進めていきます。
クリンチェックは、口腔内スキャナーでスキャンした歯型のデータを分析し、
どのように歯を動かしていくのが適切かを計算するシステムです。
精密なマウスピース矯正を行うために欠かすことのできないソフトです。


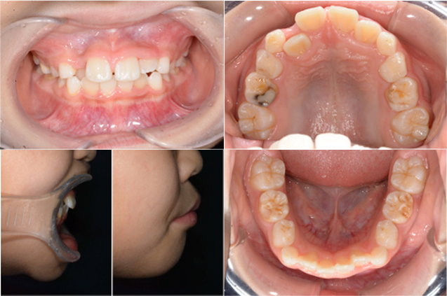
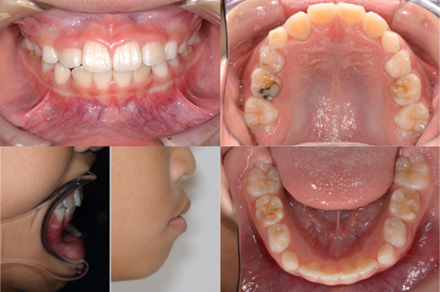
当院のマウスピース矯正は、歯並びの状態やご希望の歯並びに合わせて適切な装置を使い分けています。
患者様一人ひとりに合わせた装置を使用いたしますので、成長過程のお子様の場合や、少しだけ動かしたい場合などはそれに応じて低価格の装置で矯正治療を行っていただくことができます。
マウスピース矯正では希望の歯並びが実現できない場合でも、ワイヤー矯正を併用することで対応できる場合がございます。診断結果や患者様のご希望に応じて、最初にワイヤー矯正で歯を動かしてからマウスピース矯正を行う場合や、マウスピース矯正からワイヤー矯正に移行する場合など、色々なケースに対応することができます。
当院は、総合歯科医院なので、マウスピース矯正だけではなく、むし歯や歯周病の治療、親知らずの抜歯、セラミックやインプラントとの併用治療など、口腔内のことであればどのような治療も行うことができます。 お口の中を全体的に診させていただいた上で見た目はもちろん、咬み合わせなどの機能性も考え、患者様一人ひとりに合う治療計画を立てるようにしています。
矯正治療といえば歯にブラケットを装着し、そこにワイヤーを通して行う方法が一般的でしたが、
マウスピース矯正は透明で目立ちにくいマウスピースを装着して歯並びを整えていきます。
さまざまな不正咬合に対応ができ、年齢制限もありません。
当院が採用するインビザラインは、全世界で1,500万人以上の治療実績があります。
(2023年7月時点)
透明なマウスピース型を装着するだけですので、装置が目立たず周囲に矯正治療中だと気づかれにくいです。
装置を取り外すことができますので、食事や歯みがきの際に取り外すことでいつも通りの食事、歯みがきができます。
出っ歯や受け口、ガタガタの歯並びなど多くの症例に対応することができます。
薄い装置を装着して歯を動かしていきますので、ワイヤー矯正と比べると痛みや違和感が少ないです。
1度の来院時にまとめて数枚のマウスピースをお渡ししますので、ワイヤー矯正と比べると通院回数が少ないです。







まずは相談していただき、マウスピース矯正に関するご質問や疑問点にお答えいたします。
お口の写真や最低限の検査をさせていただき、ご説明いたします。
お口や骨格の状態などを詳しく知るために、歯科用CTやセファロレントゲン、口腔内スキャナーを使用した精密検査を行います。矯正検査には費用がかかるので、まずはお問い合わせください。
検査結果をもとに、治療方針や使用する装置・期間・治療費などを詳しくご説明いたします。
インビザラインの場合は、コンピューターによるシュミレーションを作成し、実際の治療の流れをご説明いたします。
マウスピース矯正を開始していきます。治療開始後は基本的に1ヶ月に1回ご来院いただきます。
治療が終わった後は、後戻りを防ぎ、歯並びを安定させるために保定装置を装着いたします。保定期間は3~6ヶ月に1度の頻度で、1~2年通院していただきます。
なお、虫歯や被せ物の治療が必要な場合は、矯正終了後行っていきます。セラミックや、ホワイトニング治療をご希望の方はご相談ください。
※費用は全て税込み表記です。
成人矯正であっても、「咬み合わせの向上」が治療目的であると判断されれば、医療費控除が認められる場合があります。過去5年まで遡って還付申告が可能です。家計を同じくする家族で合計して、1年間に10万円を超える医療費がかかった場合、税金が還付され、住民税も軽減されます。詳しくは下記国税庁のホームページをご覧ください。
国税庁ホームページ装置を一定期間毎に交換しながら少しずつ歯を動かしていきますので、人によっては多少痛みを感じることがあります。ただ、従来のワイヤー矯正に比べると段階的に動かしていくため、痛みは少ないと言われています。
ほとんどの症例に対応できますが、まれに対応できない歯並びがあります。当院では、歯並びの乱れが激しく、複雑な治療が必要な場合は、ワイヤー矯正と併用することで対応しておりますのでご安心ください。
抜歯する、しないによって、治療後の口元の印象、横顔のラインが違ってくる場合がありますので、抜歯のメリットやデメリット、抜歯のリスクなどについて十分ご説明した上で選択いただく場合もございます。
マウスピース矯正の装置は透明で目立ちにくく、装着していても周囲からほとんど気づかれないまま治療ができますのでご安心ください。
近年の健康志向の高まりで「お口の健康が全身の健康につながる」ことが認識され始め、歯科のニーズが高まり今後もその傾向が続いていくと思います。
その一方、インプラントの使いまわしや「滅菌」の問題の報道のように、歯科医療のモラルが問われています。歯科医療がより信頼を得ていくためには、歯科業界全体で「歯科医療行為」の質を高めていく必要があると感じています。
患者様のお口の健康を通して幸せを提供し、さらに歯科業界全体が前進していけるような取り組みを続け、信頼される歯科医師、歯科医院でありたいと願っています。
また治療の面においては、これまでの「対症療法」から「原因療法」への転換を提唱しています。
歯が悪くなったら削って詰める、数年後に再度悪化してさらに削る……そんな場当たり的な治療を繰り返していき、いつかはその大切な歯を失ってしまう―そんな悪循環からの脱却を目指しています。
そのためには、歯を悪くしてしまうそもそもの「原因」を見つけ出し、一緒に解決していくという治療を実践しています。
お口の中のことでお困りの方は、是非一度ご来院ください。
お子様が待ち時間に退屈しないようにキッズルームを設置しています。また、土曜日も診療しておりますので、平日は忙しくてなかなか通院できない方も安心です。